En esta página, tendrás que aprender a diferenciar visualmente unos tejidos de otros. Para realizar estos ejercicios, te aconsejo que busques en las fotos que vienen en tu libro, así como teclear el nombre del tejido en internet y buscar parecidos. ¡Buena suerte!

Por cierto, las fotos de las fibras musculares esqueléticas y cardíacas de la página 228 están mal, no os hagáis caso de esas fotos.

Question Title

* 1. ESCRIBE TU NOMBRE Y APELLIDOS:

Question Title

* 2. Selecciona aquella imagen en la que aparezcan "condrocitos" (un tipo de células).

Question Title

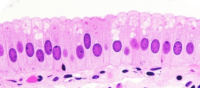
* 3. ¿Cómo se llaman esas estructuras alargadas ubicadas encima de las células de la tráquea?

Question Title

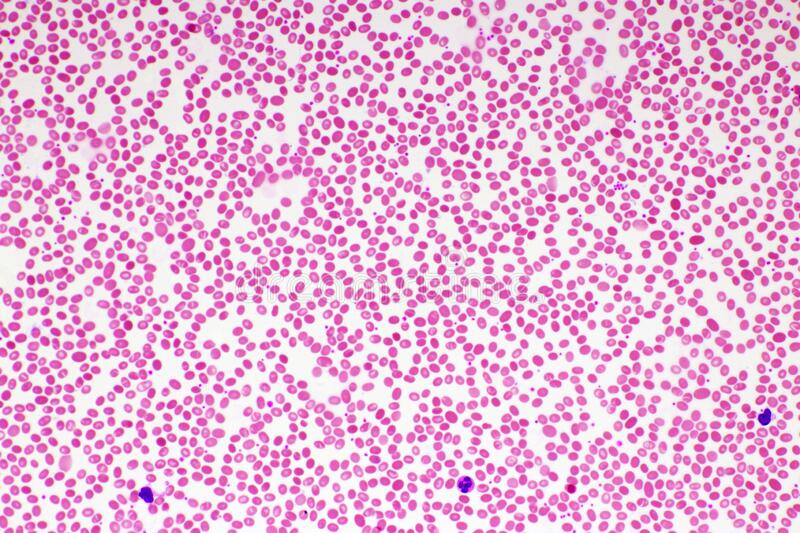
* 4. Indica qué tipo de célula está realizando la acción que se muestra en la imagen, así como el tejido al que pertenece.

Question Title

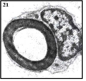
* 5. En la siguiente imagen, podemos observar a una célula rodeando a un axón. Sabiendo que no se encuentra ni en el encéfalo ni en la médula espinal, ¿cómo se llama la célula que envuelve al axón?

Question Title

* 6. La flecha señala un tejido de una sola célula. ¿Qué partes de nuestro cuerpo están tapizadas por este tejido? Marca la/las que consideres que sean correctas.

Question Title

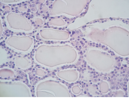
* 7. ¿Cuál es el órgano formado por el tejido que se muestra en la imagen? ¿Por qué?

Question Title

* 8. ¿Qué nombre recibe la membrana que recubre el tejido de la imagen?
(tapado en azul).

Question Title

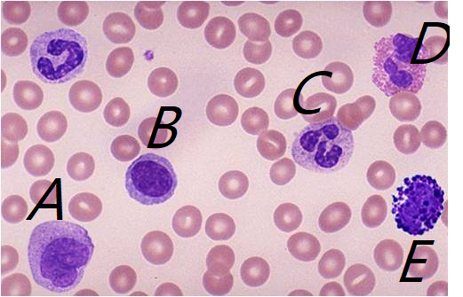
* 9. Busca el nombre de cada una de las siguientes células (A,B,C,D y E).

Question Title

* 10. ¿Qué tipo de células ves en la fotografía de microscopía? Pista: en el libro dice que son estrelladas, pero en verdad son alargadas.

T