Saltar al contenido
TEJIDOS 3
1.
Escribe tu nombre y apellidos
2.
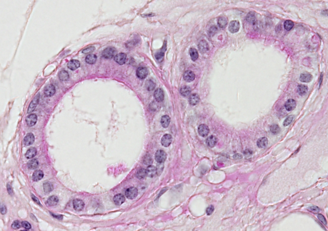
De los siguientes tejidos, hay uno que se corresponde con el tiroides, es decir, es epitelio simple cúbico. Selecciona el correcto.
A
B
C
D
E
F
3.
¿En qué tejido aparece la siguiente estructura? Indica cada una de sus partes.
4.
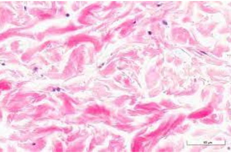
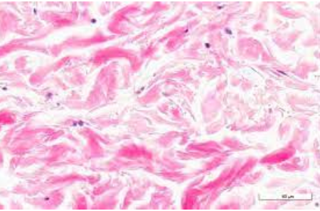
Las siguientes dos figuras representan ambas tejido conjuntivo denso, pero... ¿cuál dirías que es IRREGULAR? Ten en cuenta la disposición de las fibras.
1
2
5.
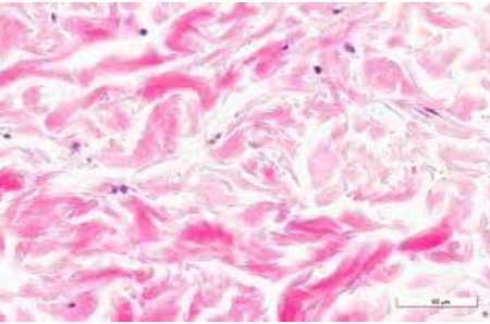
Las siguientes dos figuras representan ambas tejido conjuntivo denso, pero... ¿cuál dirías que es REGULAR? Ten en cuenta la disposición de las fibras.
1
2
6.
El siguiente tipo celular es esperable encontrarlo en el sistema nervioso, ¿pero qué célula es?
Astrocito
Célula de Schwann
Microglía
Neurona
Oligodendrocito
7.
En la imagen se observa la representación del arco reflejo. ¿Qué tres neuronas participan en la percepción y procesamiento de la información? Pon las neuronas participantes EN ORDEN.
8.
Selecciona el órgano y el tejido o tejidos que puedan corresponderse con la siguiente imagen:
Hígado
Cerebro
Tejido epitelial de revestimiento.
Tejido epitelial glandular exocrino.
Páncreas
Tejido adiposo
Tejido cartilaginoso
Tejido epitelial glandular endocrino
Tejido muscular.
Tejido óseo.
9.
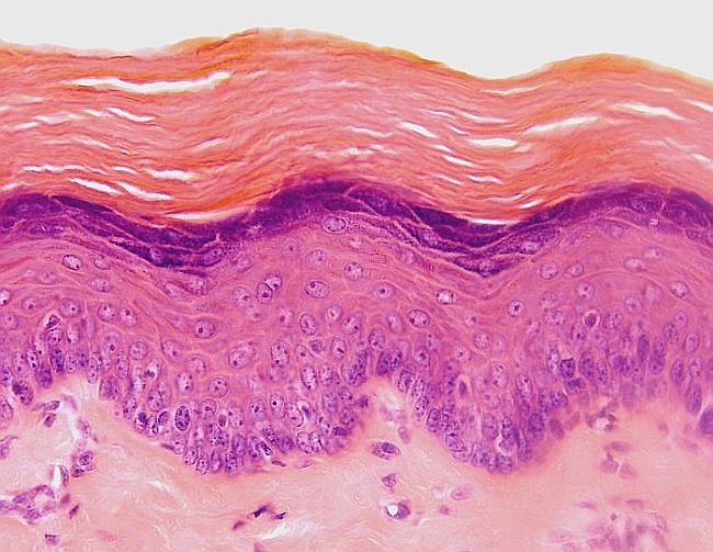
Escribe el tipo de tejido que se corresponde con la imagen:
Pista: las fibras rojas observables en la parte superior son moléculas de
queratina
.
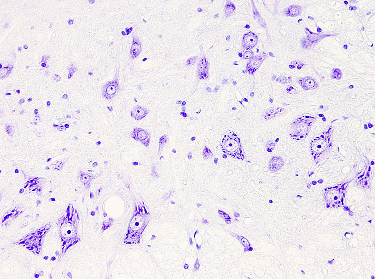
10.
Una de estas imágenes nuestra neuronas teñidas con un colorante específico (
T
inción de Nissl
). ¿De qué imagen se trata?
A
B.
C.
D.