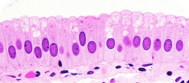
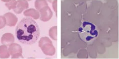
TEJIDOS 2 Question Title * 1. Escribe de nuevo tu nombre y apellidos Question Title * 2. Observa el siguiente vídeo:https://www.youtube.com/watch?v=-rIhWHjC8bA¿Qué célula participa en el proceso descrito y en qué tejido/s se encuentra? Question Title * 3. ¿Cómo se llama la estructura en forma de bastón que aparece sobre la célula de la imagen? ¿Qué es exactamente esa estructura en bastón? Question Title * 4. ¿Cuál es el nombre de las células que ves en la imagen? Puede haber varias respuestas correctas... Ostecitos Neuronas Fibrocitos Condrocitos Osteoblastos Mastocitos Adipocitos Eritrocitos Question Title * 5. ¿Qué tejido representa la imagen siguiente y por qué vemos esas estructuras en forma de líneas paralelas pegadas unas a otras, qué son exactamente? Question Title * 6. ¿Qué son las estructuras señaladas con 1 y 2? 1. Plaquetas / 2. Eosinófilos 1. Eritrocitos / 2. Basófilos 1. Plaquetas / 2. Neutrófilos 1. Monocitos / 2. Macrófagos 1. Linfocitos T / 2. Linfocitos B Question Title * 7. Mira la imagen. ¿En qué clase de tejido aparece la siguiente célula? Indica todas sus partes y escríbelas en el cuadro de texto. Question Title * 8. ¿En qué tejido es probable que se encuentre esta célula? Tejido adiposo. Tejido nervioso. Tejido muscular. Tejido epitelial glandular. Tejido epitelial de revestimiento. Tejido conjuntivo. Tejido óseo Tejido cartilaginoso. Question Title * 9. Señala el/los tejidos en los que pueda aparecer la siguiente molécula vista al microscopio electrónico (Pista: es una molécula que contiene muchas unidades de 4-hidroxiprolina). Tejido nervioso. Tejido óseo. Tejido muscular estriado cardíaco. Tejido adiposo. Tejido conjuntivo laxo. Tejido muscular liso. Tejido cartilaginoso Tejido epitelial glandular. Tejido epitelial de revestimiento. Tejido conjuntivo denso irregular. Tejido sanguíneo Tejido conjuntivo denso regular Question Title * 10. En la imagen se aprecia claramente que estamos ante un tejido de tipo epitelial, pero, ¿de qué tipo? Observa la morfología celular. Pluriestratificado. Simple cúbico Simple plano Glandular endocrino Glandular exocrino Simple prismático Listo